Treatment
Invisalign in Buckinghamshire
£3,770 £2,900*
*from
You Save £870
- Free Night Time Essix Retainers -£300
- Free Boutique Whitening Kit -£375
- Full Mouth OPG Xray -£65
- iTero Scan included -£65
- Free Consultation -£65
Our Services
Invisalign in Chalfont St Giles, Buckinghamshire
Invisalign in Buckinghamshire
At Dental Excellence, we help patients achieve straighter, healthier smiles with Invisalign in Buckinghamshire—the discreet and comfortable alternative to traditional braces. Our expert team uses advanced digital planning to customise every aligner for optimal fit and results. Whether you’re correcting crowded teeth, spacing issues, or bite misalignment, Invisalign offers a flexible and virtually invisible solution. Treatment is led by experienced clinicians who support you throughout every step of your smile journey.
What is Invisalign?
Invisalign in Buckinghamshire is an advanced orthodontic system that uses a series of custom-made, clear aligners to gradually move your teeth into alignment. Unlike metal braces, Invisalign is removable, comfortable, and barely noticeable. At Dental Excellence, we use digital scans and smile simulations to create a fully personalised treatment plan, allowing you to visualise your results even before you begin. It’s a modern, patient-friendly approach to straightening your teeth.
Dr. Mumtaz Awan
Dr. Mumtaz Awan is a dedicated dental surgeon with a strong background in medical science, biomaterials, and cosmetic dentistry. After completing her studies at Birmingham University and earning her dental degree from Peninsula College of Medicine and Dentistry, she gained extensive experience in private practices across the West Midlands and London. Passionate about creating natural, confident smiles, Dr. Awan is the in-house Invisalign provider at Dental Excellence and has a special interest in facial aesthetics. Known for her warm and approachable manner, she offers personalised care to every patient, combining clinical precision with a genuine love for helping people feel their best.
Book your appointment with our specialists today – it only takes a minute.
Our team of dental professionals are proud to work alongside the aligner pioneers at Invisalign ® to help reveal the straighter smile our patients have been looking for.
Invisalign ® is a clear aligner system that has been helping to realign misaligned smiles since the 1990s. Popular and well known for their subtle appearance and flexibility, Invisalign® offers patients an alternative to other more obtrusive orthodontic options such as metal or ceramic braces.
Designed to be removed for eating and brushing your teeth, Invisalign® must be worn for 22 hours a day to be truly effective, but thanks to their patented SmartTrack material, friends and family rarely ever realise a patient is wearing them.
Patients love how easily and seamlessly Invisalign® can fit in with their lifestyle, but even more than this, they love the results they get. Most patients wear their Invisalign® aligners for between six to nine months, however, in more complex cases it can take up to 18 months.
Our iTero scanner means that getting Invisalign® at Dental Excellence is even easier than ever. Here, there are no more messy impressions – instead, our iTero machine will simply take a scan of the mouth, from which Invisalign® will be able to build your aligners.
Invisalign®
- Clear, virtually invisible
- Smooth and comfortable
- Removable & easy to clean
- Eat anything you want
VS
Traditional Braces
- Wires and brackets
- Can decorate with colours
- Colours can be changed at every visit
- Non removable
What are the benefits of Invisalign?
Choosing Invisalign in Chalfont St Giles means choosing comfort, discretion, and freedom. The aligners are removable, making it easier to eat, brush, and floss. They’re also smooth and gentle on the gums, with no metal brackets or wires. At Dental Excellence, patients love the convenience of shorter check-up visits and the ability to continue their lifestyle with minimal interruptions—all while achieving noticeable results in a discreet and efficient way.
How does Invisalign work?
Invisalign in Buckinghamshire works by using a sequence of aligners that apply controlled pressure to specific teeth over time. Each set is worn for around two weeks, gradually guiding your teeth into the desired position. At Dental Excellence, we use 3D scanning and precise software to design each step of your treatment. Our clinicians monitor your progress closely, ensuring your results stay on track from start to finish.
Schedule your visit now and let’s plan the right treatment together.




| Invisalign ® | OTHER CLEAR ALIGNERS | TRADITIONAL BRACES | |
|---|---|---|---|
| Made from SmartTrack material | ✓ | ✓ | ✘ |
| In-person consultations with real dentists | ✓ | ✓ | ✘ |
| Easily removable for eating, drinking & flossing* | ✓ | ✓ | ✘ |
| No emergency visits for broken wires | ✓ | ✓ | ✘ |
| Virtually invisible | ✓ | ✘ | ✘ |
| Made from traditional brackets and wires | ✓ | ✘ | ✓ |
| Each aligner is trimmed to your gum line for optimal comfort and appearance** | ✓ | ✘ | ✓ |
| Blue compliance indicator dots to help you stay on track | ✓ | ✘ | ✓ |
| Covered by many orthodontic insurance plans | ✓ | ✘ | ✓ |
How much does Invisalign in Chalfont St Giles cost?
The cost of Invisalign in Chalfont St Giles depends on the complexity of your case and the duration of treatment. At Dental Excellence, we provide clear and transparent pricing, explained in detail during your consultation. Every plan includes digital diagnostics, aligner sets, and regular reviews. We also offer flexible finance options to help you spread the cost over time.
How long does Invisalign take to work?
The duration of Invisalign in Buckinghamshire varies based on the complexity of the case, but most treatments last between 6 and 18 months. Some patients start seeing visible changes within a few weeks. At Dental Excellence, your plan is personalised from the start, with digital simulations that show your expected progress. Regular follow-ups ensure each aligner is doing its job effectively, helping you stay on track to your ideal smile.
Six reasons why you should choose us for your Invisalign® treatment
Best customer care service
Free initial consultation
Teeth whitening worth £370, included for free
£300 worth of removable retainers, included for free
Beautiful teeth in as little as six months, using safe cosmetic braces
Why wait? Interest free finance available
Start now with your free consultation on Invisalign and Implants we are always available to help you solve your problems.
What can Invisalign® fix?
Crowded teeth
Crowded teeth are a condition where you do not have enough room for your teeth to fit normally. This can cause plaque or tartar and other harmful bacteria to build up as it is harder for you to brush and floss well.
Gaps between teeth
Gaps between teeth are when there is extra space between two or more of your teeth. This can cause pockets between your teeth and gums and can cause food to get stuck making them tender and sore. This might also lead to gum disease.
Open bite
An Open bite is when your upper and lower teeth don't touch when you close your mouth. An open bite can make it hard for you to chew or difficult to bite even the most common of food like apples
Underbite
An underbite is when you close your mouth and your lower front teeth are in front of your upper teeth. In many cases, this is actually a problem with your lower jaw being too far forward. An underbite can make it hard to chew properly and speak clearly, and it might cause your teeth to wear down more quickly.
Overbite
An overbite is when your upper front teeth overlap with your lower front teeth. Most people have at least a little overbite. When your overbite is too large, your doctor might tell you you have a deep bite. This can cause problems, from your teeth wearing down to pain in your jaw.
Crossbite
A crossbite is when you close your mouth and yet some of your upper teeth are sitting inside your lower teeth rather than on the outside. A crossbite can make your teeth wear down or chip. It can also make your gums start to recede or make little notches above your gum line. This kind of damage can lead to painful gum problems or even bone loss.
Our Services
Invisalign in Chalfont St Giles, Buckinghamshire
Does Invisalign hurt?
Patients considering Invisalign in Chalfont St Giles often wonder about discomfort. While some pressure is normal when switching to a new set of aligners, Invisalign is generally more comfortable than fixed braces. The edges are smooth and there are no wires to cause irritation. At Dental Excellence, we provide detailed advice to manage any mild sensitivity, and our team is always available to support you throughout your treatment.
Can Invisalign fix overbite?
Yes, Invisalign in Buckinghamshire can effectively treat mild to moderate overbites. Using advanced planning software, we create a sequence of aligners that gently reposition the teeth and adjust the bite over time. At Dental Excellence, we assess your specific case in detail to determine whether Invisalign is the right option, and we often combine it with other orthodontic or restorative treatments for optimal function and aesthetics.
Schedule your visit now and let’s plan the right treatment together.
Cost of Invisalign® Clear Braces
Affordable Invisalign treatment
Many people worry about the cost of Invisalign braces, and so we have devised a number of payment plans to help you afford the right treatment with Invisalign. Invisalign braces from £450 per month with our finance options.
Invisalign® from
£3,770 £2,900*
You Save £870
- Free Night Time Essix Retainers -£300
- Free Boutique Whitening Kit -£375
- Full Mouth OPG Xray -£65
- iTero Scan included -£65
- Free Consultation -£65
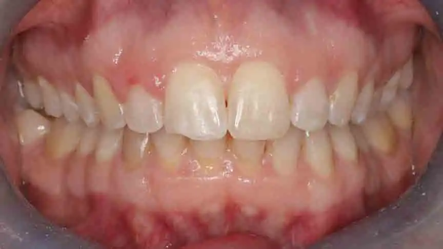
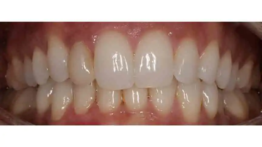
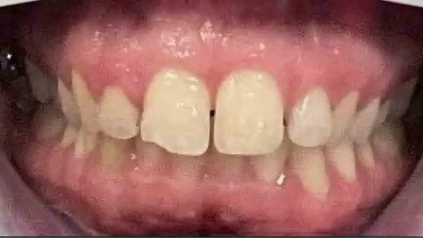
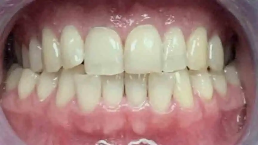
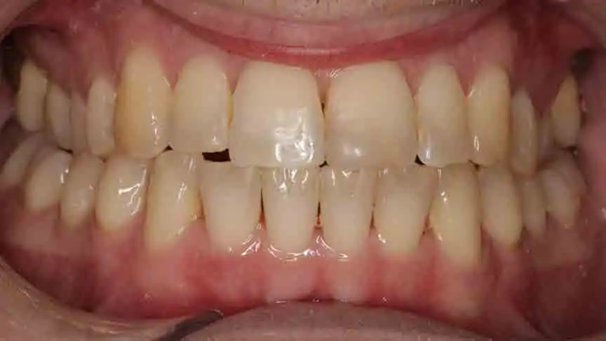
See the results
From Slough
Head southeast on the M4, taking the exit toward A404(M) / A4130. Continue on the A404(M) and take the A412 toward Chalfont St Giles. Follow the A412 straight into the town, then take the left turn onto High Street. Dental Excellence will be on your left, just after the roundabout.
From Watford
Take the A41 south toward Hemel Hempstead, then take the A412 toward Chalfont St Giles. Follow the A412 until you reach the High Street in the town centre. Turn right onto High Street, and you’ll find Dental Excellence shortly after the roundabout on your right.
From Uxbridge
Take the Metropolitan Line from Uxbridge Station towards Aldgate. Alight at Chalfont & Latimer Station. From here, it’s a short bus ride or a 15-minute walk to Dental Excellence on High Street in Chalfont St Giles.
From Amersham
From Amersham Station, take the Chiltern Railways train towards London Marylebone. Alight at Chalfont & Latimer Station, then follow the same instructions as above for a short walk or bus ride to Dental Excellence.
From Maidenhead
Take the Buses 105 or 103 towards Chalfont St Giles. The bus will drop you at Chalfont High Street, just a short walk from the practice.
From Southall
Take the E8 bus towards Uxbridge and alight at Uxbridge Station. From there, switch to the 331 bus towards Chalfont St Giles and get off at the High Street stop, just a short walk to Dental Excellence.
- Where to Park
There is parking available directly outside the practice on High Street for patient convenience. Alternatively, you can park in nearby public parking areas on the High Street or the Chalfont St Giles Car Park, located just a 2-minute walk away. Please be sure to check the parking signage to avoid any restrictions.
Amersham: Take the A413 south towards Chalfont St Giles. It’s a 10-minute drive. Once in the village, follow the signs to the High Street.
Gerrards Cross: Drive north on the A413 towards Chalfont St Giles. It’s a short 8-minute journey. Look for the High Street once you enter the village.
Beaconsfield: From Beaconsfield Old Town, follow the B473 towards Seer Green and then take the A413 north. Follow signs to Chalfont St Giles and reach the High Street.
Rickmansworth: Take the A404 towards Chorleywood, then join the A404 and B4442 towards Chalfont St Peter. Continue on the A413 north to Chalfont St Giles.
Uxbridge: From Uxbridge, take the B483 then merge onto the A412. Take the A40 for a short distance, then the B473 and A413 north to reach Chalfont St Giles High Street.
Is Invisalign worth it?
For many patients at Dental Excellence, Invisalign in Chalfont St Giles is absolutely worth it. The aligners offer a discreet, hygienic, and comfortable way to improve both the appearance and function of your smile. With proper planning and expert supervision, results are predictable and long-lasting. Beyond aesthetics, straighter teeth are easier to clean and can reduce the risk of future dental issues, making Invisalign a smart investment in your oral health.
Are braces better than Invisalign in Buckinghamshire?
Traditional braces and Invisalign in Buckinghamshire both offer effective solutions—but the best choice depends on your clinical needs and personal preferences. Invisalign is ideal for many adult and teen patients seeking a discreet, flexible option. At Dental Excellence, we’ll guide you in choosing the right path based on your goals, using detailed assessments and digital simulations to ensure the treatment aligns with your expectations and lifestyle.
FAQs
What is the treatment process ?
Invisalign treatment starts with a consultation with an Invisalign-trained doctor. Your doctor will evaluate your smile and then map out a precise, customized digital treatment plan that showcases the step-by-step transformation of your smile. once you approve your plan, your unique aligners will be created. you will wear each set of aligners for 20 to 22 hours a day, changing to a new set of aligners every 1 to 2 weeks, as directed by your doctor. each set of aligners will gently and gradually shift your teeth into place, according to your treatment plan, until you reach your beautiful new smile.
How long does Invisalign treatment take?
depending on the complexity of your case, you could complete your treatment in as little as 6 months. but you’ll start seeing results in a matter of weeks.
What are Invisalign clear aligners made of and what do they look like?
Invisalign clear aligners are made of flexible plastic — specifically, a patented thermoplastic material called SmartTrack created exclusively for Invisalign treatment.
What is Invisalign treatment ?
Invisalign treatment is the process of wearing a series of clear, removable aligners that gradually straighten your teeth. No brackets and wires, and none of the restrictions that come with metal braces.
What are Invisalign clear aligners made of and what do they look like?
Invisalign clear aligners are made of flexible plastic — specifically, a patented thermoplastic material called SmartTrack created exclusively for Invisalign treatment.
How will Invisalign treatment straighten my teeth?
Your Invisalign Doctor will create a unique, digital treatment plan that maps out the exact movements of your teeth. Your Invisalign clear aligners are then designed to apply the right amount of force to the right place at the right time based on your plan. Your Invisalign Doctor will be with you every step of the way to monitor your progress and ensure your aligners fit correctly.
What are the primary benefits of Invisalign treatment?
Invisalign clear aligners are virtually invisible — people may not even notice you’re wearing them. You can remove them to eat and drink, to brush and floss, or for special occasions. There are no metal brackets or wires that could irritate your mouth or break.
Unlike other brands, Invisalign clear aligners are made from patented SmartTrack material, which is more comfortable and provides a better fit.1 Invisalign aligners are also trimmed based on your gum line for comfort and appearance. As the most advanced clear aligner system in the world, we have successfully improved over 8 million smiles, including 1.4 million teen smiles.
Am I guaranteed to have straight teeth with Invisalign treatment?
Every smile is unique, which is why your Invisalign treatment starts with a consultation. During your consultation, your Invisalign Doctor will help you determine what Invisalign treatment could do for your smile. We cannot guarantee a particular treatment outcome, but encourage you to share your treatment goals with your Invisalign Doctor at your consultation.
Could Invisalign treatment be right for me ?
Invisalign treatment can be a great solution for both adults and teens looking for a virtually invisible method to improve their smile. Our innovations and technological advancements make it possible to fix nearly all common teeth-straightening and bite issues, from simple to complex — all without interrupting your busy life. And, thanks to a discreet blue dot on the outside of teen aligners, parents can be sure their child is wearing their clear aligners enough.
What is the treatment process?
Invisalign treatment starts with a consultation with an Invisalign-trained doctor. Your Invisalign Doctor will evaluate your smile and then map out a precise, customised digital treatment plan that showcases the step-by-step transformation of your smile.
Once you approve your plan, your unique aligners will be created. You will wear each set of aligners for 20 to 22 hours a day, changing to a new set of aligners every 1 to 2 weeks, as directed by your Invisalign Doctor. Each set of aligners will gently and gradually shift your teeth into place, according to your treatment plan, towards your beautiful new smile.
How do I get started with Invisalign treatment?
Our Smile Concierge Team can help you make an appointment with an Invisalign-trained Doctor near you. You can also find an Invisalign-trained Doctor near you using our online locator.
Many Invisalign Doctors offer free initial consultations. For the best experience, take the time to find the right Invisalign Doctor for you — someone who makes you feel comfortable and has the experience you’re looking for.
What is the Smile Concierge Team and what can they do for me?
The Smile Concierge Team is a friendly squad, here to help make getting started with Invisalign treatment even easier. They can help you schedule a consultation and find an Invisalign-trained Doctor near you.
Can I go to any dentist or orthodontist for Invisalign treatment?
Many orthodontists and dentists are Invisalign-trained Doctors, but not all are. Orthodontists and dentists who want to offer Invisalign treatment must complete specialised training. Our Smile Concierge Team can help you find an Invisalign-trained Doctor near you or you can use our online locator.
What should I bring to my consultation with my doctor?
Bring your questions (we’ve got a list to get you started here). You should also bring any information you might have about your dental history.
What should I expect during my consultation?
During your consultation, your Invisalign Doctor will discuss your teeth-straightening goals with you and examine your smile in order to determine your specific needs. Your Invisalign Doctor may also talk to you about how quickly you could reach your new smile, as well as your individual treatment cost. *treatment cost can placed/linked on the Practice’s page*
Your Invisalign Doctor will most likely recommend scheduling a dental check-up and cleaning before you begin Invisalign treatment, to make sure your teeth and gums are in top health and to avoid unnecessary risks.
How long will treatment take?
The length of treatment depends on multiple factors, like how complex your case is and how often you wear your aligners. Your Invisalign Doctor will determine exactly how long your treatment could take based on your specific needs. On average, Invisalign treatment time is 12 to 18 months2, though you can start seeing results in a matter of weeks.
How often will I change my Invisalign aligners?
Your Invisalign Doctor will tell you how often you should change to new Invisalign aligners (this can vary based on your individual treatment plan). Many Invisalign Doctors recommend changing Invisalign clear aligners weekly or every other week.
How often will I have appointments with my Invisalign Doctor?
Your Invisalign Doctor will schedule regular appointments, usually about once every four to six weeks. The goal of these visits is to ensure your Invisalign treatment is progressing as planned.
My Invisalign Doctor mentioned “attachments”. What are they and why would I need them for my Invisalign treatment?
Your Invisalign treatment may require SmartForce attachments, small tooth-coloured shapes that are attached to your teeth.
These shapes serve as handles, giving the aligners something to gently push on in order to move your teeth with the right amount of force, and are what make complex tooth movements possible without braces. Invisalign clear aligners fit smoothly and tightly around them, so they’re barely noticeable.
While not everyone who uses Invisalign clear aligners will need SmartForce attachments, if you need them, your Invisalign Doctor will attach them to your teeth at the start of or during your treatment and remove them when they are no longer needed.
How much does Invisalign cost ?
like other types of orthodontic treatment, the price of the Invisalign treatment depends on the complexity of your dental correction and your course of treatment.
Is Invisalign treatment more expensive than braces?
Invisalign treatment typically costs about the same as braces.
I am currently wearing braces. Can I make the switch to Invisalign treatment ?
Possibly. Invisalign Doctors are treating a significant number of patients with a combination of braces and Invisalign clear aligners — consult your Invisalign Doctor to determine the best treatment approach for your smile.
Since having my braces removed, my teeth have shifted. Can Invisalign treatment fix this?
Yes, Invisalign clear aligners can treat nearly all common teeth-straightening issues, from simple to complex. Many people who formerly had braces choose Invisalign treatment as the discreet solution to improve their smile when they find that their teeth have shifted back.
I have veneers or crowns. Will Invisalign clear aligners work with them?
It depends. Talk with your Invisalign Doctor about the dental work you’ve had done, including veneers and crowns, and he or she will evaluate your individual needs.
I have bridgework on several teeth. Will Invisalign clear aligners still work?
Invisalign clear aligners are designed to move each tooth individually. Because bridgework connects two or more teeth, clear aligners may not be effective.
I am currently wearing braces. Can I make the switch to Invisalign treatment ?
Possibly. Invisalign Doctors are treating a significant number of patients with a combination of braces and Invisalign clear aligners — consult your Invisalign Doctor to determine the best treatment approach for your smile.
Since having my braces removed, my teeth have shifted. Can Invisalign treatment fix this?
Yes, Invisalign clear aligners can treat nearly all common teeth-straightening issues, from simple to complex. Many people who formerly had braces choose Invisalign treatment as the discreet solution to improve their smile when they find that their teeth have shifted back.
I have veneers or crowns. Will Invisalign clear aligners work with them?
It depends. Talk with your Invisalign Doctor about the dental work you’ve had done, including veneers and crowns, and he or she will evaluate your individual needs.
I have bridgework on several teeth. Will Invisalign clear aligners still work?
Invisalign clear aligners are designed to move each tooth individually. Because bridgework connects two or more teeth, clear aligners may not be effective.
Can anyone tell that I’m wearing the aligners ?
Invisalign aligners are virtually invisible. Others may not even notice you’re wearing them, making Invisalign treatment a seamless fit with your lifestyle.
Can I take my aligners off whenever I need to?
Yes, you can remove your Invisalign aligners for eating, drinking, brushing, and flossing. You can take them off for special occasions, like a wedding, job interview, or for playing your favourite sport or instrument. Just remember to wear them 20 to 22 hours a day to get the best results.
Are there any restrictions on what I can eat while in treatment?
None! Invisalign clear aligners are removable, so there are no food restrictions at all (hello popcorn!). With traditional wires and brackets, there’s a long list of foods you unfortunately can’t enjoy, as they can damage or get stuck in your braces.
Is Invisalign treatment painful?
Invisalign treatment moves your teeth by applying gentle, constant force, but some people do feel temporary discomfort for the first few days of wearing a new set of aligners. Typically, people describe it as feeling “pressure” and it’s normal — it’s a sign your Invisalign clear aligners are working and transforming your smile.
Please see your Invisalign Doctor if you have any concerns or experience continued discomfort.
Sometimes when I remove my aligners, my teeth feel loose. Is that common?
Yes. As your Invisalign aligners gradually shift your teeth into their proper position, your gums are re-forming around each tooth as it moves. Be sure to talk to your Invisalign Doctor about any concerns.
Will Invisalign treatment still work if I only wear my aligners while I sleep?
You need to wear your Invisalign aligners 20 to 22 hours a day to get the results you want.
Will wearing Invisalign clear aligners affect my speech?
It may take a couple of days for your tongue to get used to having your Invisalign aligners in your mouth, and you may have a slight lisp. But this should disappear quickly.
Will smoking stain my aligners?
We discourage smoking while wearing Invisalign aligners because it can stain them.
Can I chew gum while wearing aligners?
No, gum will stick to your Invisalign aligners. We recommend removing your aligners for all meals and snacks, including gum.
Can the aligners slip off while I’m asleep?
It is very unlikely that your aligners would ever fall out, no matter what you are doing: sleeping, talking, laughing, etc. Invisalign clear aligners are designed to fit snugly around your teeth, so this should not be a cause for concern.
I went on a trip and forgot to take my aligners with me. Will my aligners still fit?
The answer depends on how long you’ve gone without wearing your Invisalign aligners. If it’s only been a short time, your aligners should still fit, but they might feel uncomfortable. If it’s been a longer time, talk to your Invisalign Doctor about your unique situation.
What’s the best way to clean my aligners ?
The best way to clean your aligners is by brushing and rinsing them in lukewarm water and using the Invisalign Cleaning Crystals or special cleaning tablets. It’s important that you brush your teeth after each meal before re-inserting your aligners to maintain good oral hygiene.
If I have food residue (like blueberries or pasta sauce) in my mouth when I put my aligners back in, can they become stained?
Yes. That’s why it’s important to brush after every meal, before placing your Invisalign aligners back in your mouth.
What if I lose or break an aligner. What should I do?
If you lose or break an Invisalign aligner, immediately let your Invisalign Doctor know. Your Invisalign Doctor will work with you to ensure you stay on-track with your treatment plan, which may involve wearing a previous set of aligners, your next set of aligners, or ordering replacements aligners.
Can I order replacement aligners from the Invisalign brand directly?
All aligners and retainers must be ordered through your Invisalign Doctor, as they are considered a prescription item. Please contact your Invisalign Doctor directly if you need to order a replacement.
Will I need to wear a retainer after treatment to prevent my teeth from moving again ?
Most Invisalign Doctors recommend that anyone who has completed orthodontic treatment, whether with braces or Invisalign treatment, use a retainer to prevent teeth from gradually shifting back toward their initial position. Every case is different, so ask your Invisalign Doctor if you need retainers.
What type of retainer should I use?
While there are many different types of retainers, we recommend Vivera retainers. Vivera retainers were specifically designed for use after Invisalign treatment, and are made from a proprietary material 30% stronger than other leading clear retainer materials, which helps you to keep your new smile.
Your Vivera retainers will be virtually invisible, and custom-made from an impression or scan of your teeth, using the same start-of-the-art technology used for Invisalign clear aligners.
How much do Vivera retainers cost?
Contact your Invisalign Doctor for more information on Vivera retainers, as pricing can be based on your individual needs. All Vivera retainer orders will include an extra set, in case you lose one.
How do I order Vivera retainers?
You can order Vivera retainers through your Invisalign Doctor.
How long will I have to wear my Vivera retainers?
Your Invisalign Doctor will give you specific instructions on how often you need to wear your retainers. Typically, you wear your first set full time, then based on your Invisalign Doctor’s recommendation, you may gradually reduce how much you wear them until you only wear them at night.
Lost your Vivera retainer? No problem.
If you lose or break your last set of Vivera retainers, or simply run out, just get in touch with your Invisalign Doctor. They can work with you on purchasing a new set of Vivera retainers, so you can keep showing off that smile!
Our method for Invisalign in Chalfont St Giles combines advanced diagnostics, specialist oversight, and a patient-first approach. We begin with a detailed 3D scan and smile simulation, followed by a customised aligner plan. Throughout treatment, we monitor your progress and adjust as needed to ensure optimal results. With weekend appointments and dedicated support, Dental Excellence makes your Invisalign experience comfortable, efficient, and designed entirely around your needs.
Book your consultation today and start your journey with Invisalign in Buckinghamshire.
Price List
Start now with your free consultation, we are always available to help you solve your problems.












